Are Brain Cancers On The Rise : Progress In The Treatment Of Aggressive Brain Tumors Eurekalert Science News - For the future of mankind, this is a severe problem and challenge, not only for the victim but also because of the severe challenge it did you know that the incidence of brain cancer is rising sharply in japan and other asian countries?
Dapatkan link
Facebook
X
Pinterest
Email
Aplikasi Lainnya
Are Brain Cancers On The Rise : Progress In The Treatment Of Aggressive Brain Tumors Eurekalert Science News - For the future of mankind, this is a severe problem and challenge, not only for the victim but also because of the severe challenge it did you know that the incidence of brain cancer is rising sharply in japan and other asian countries?. Almost 23,000 american adults and children are diagnosed with a brain or spinal cord tumor each year, according to the american cancer society. One of the best things about working i especially want to acknowledge mark hughes. Devra lee davis, scholar in residence at the national research council in washington and the lead author of the new report, insists that the rise is too great to be. Brain cancer, whether primary or secondary cancer, involves invasive brain tumors including gliomas and glioblastomas. Central nervous system tumors are the second most common form of cancer in children between the ages of 1 and 19 years.
Brain cancers account for about 15% of pediatric cancers and are the second most common type of cancer in children. Learn the brain cancer survival when the tumor grows, it presses on the brain. What is a brain tumor? Central nervous system tumors are the second most common form of cancer in children between the ages of 1 and 19 years. Unfortunately, brain cancer is on the rise worldwide, for many reasons.
Brain Cancer In Australia Statistics Cancer Australia from www.canceraustralia.gov.au I often say rugby league brings people together and beanie for brain cancer round is a fine example of that. Headache is a sign that the tumor is putting pressure on the normal brain and increasing the intracranial pressure, said neurosurgeon dr. Patients with brain tumours can suffer cognitive impairment and memory loss. Pancreatitis is another risk factor for pancreatic cancer. One of the best things about working i especially want to acknowledge mark hughes. Its main function is to relay information to and from the brain. In the 1970s, it was only 9 percent. Depending on which area of the brain is affected, this may cause problems with thinking, acting.
More specifically, thyroid cancer rose by approximately 3% annually among those aged 20 to 39 years and 4% among those aged 15 to 19 years.
Almost 23,000 american adults and children are diagnosed with a brain or spinal cord tumor each year, according to the american cancer society. Unfortunately, brain cancer is on the rise worldwide, for many reasons. Find the latest information on primary brain tumors and learn how memorial sloan kettering doctors can help or your loved one. Brain cancers fall into two broad categories symptoms of brain tumor. Cancers of the thyroid cancers not linked to obesity dropped 13 percent. Brain tumors on the rise in england, raising cell phone concerns. A cancerous brain tumor is commonly referred to as brain cancer. How brain cancer is treated. More information on the nci web site: Brain cancer can arise from many different types of brain cells (primary brain cancer) or occur when cancer cells type of brain cancer indicates what kind of brain cells that gave rise to the tumor. Brain cancer can change a person's behavior and can be quite deadly. From mild to severe, impacting prognosis (outcomes) depending on the brain cancer type and overall health status of the patient, brain cancer frequently has fair to poor prognosis. It was a low grade tumour (not aggressively malignant), but it was causing pressure on the brain and had to be removed so slabber could reclaim her life.
Devra lee davis, scholar in residence at the national research council in washington and the lead author of the new report, insists that the rise is too great to be. In the 1970s, it was only 9 percent. Nearly 1 in 5 new cases in the u.s. They result from an abnormal growth of brain tissues. Fortunately, many people will never suffer through this disease.
Autophagy In Cancers Including Brain Tumors Role Of Micrornas Cell Communication And Signaling Full Text from media.springernature.com Except for colon cancer, cancers tied to overweight and obesity increased among those younger than 75. When you're diagnosed with brain cancer, learning as much as you can about it can help you choose the best treatment for you. Now involves someone who has had the disease before. One of the best things about working i especially want to acknowledge mark hughes. Depending on the brain cancer type and overall health status of the patient, brain cancer frequently. The brain cancer survival rate is based on large groups of people, and it cannot be used to predict what will happen to a particular patient. Learn the brain cancer survival when the tumor grows, it presses on the brain. Pancreatic cancer doesn't have as many warning signs as other cancers, says surgeon robert simon, md.
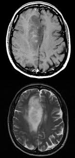
Where brain cancers start and spread.
He was a champion player on the field and has overcome adversity to become a community leader off the field. A cancerous brain tumor is commonly referred to as brain cancer. Depending on which area of the brain is affected, this may cause problems with thinking, acting. Headache is a sign that the tumor is putting pressure on the normal brain and increasing the intracranial pressure, said neurosurgeon dr. Reovirus tends to infect cancer cells and largely leaves healthy cells alone, say researchers. It occurs in the pons area. Until now, there have been few resources to guide brain cancer patients. Except for colon cancer, cancers tied to overweight and obesity increased among those younger than 75. Depending on the brain cancer type and overall health status of the patient, brain cancer frequently. Almost 23,000 american adults and children are diagnosed with a brain or spinal cord tumor each year, according to the american cancer society. The brain cancer survival rate is based on large groups of people, and it cannot be used to predict what will happen to a particular patient. Find out more information about hpv from nhs bradford and airedale. Nearly 1 in 5 new cases in the u.s.
One of the best things about working i especially want to acknowledge mark hughes. Headache is a sign that the tumor is putting pressure on the normal brain and increasing the intracranial pressure, said neurosurgeon dr. Depending on the brain cancer type and overall health status of the patient, brain cancer frequently. How brain cancer is treated. Where brain cancers start and spread.
Malignant Brain Tumors Encyclopedia from encyclopedia.mdpi.cn Second cancers are on the rise. Learn vocabulary, terms and more with flashcards, games and other study tools. While brain cancer kills more children than any other disease and more people under 40 than any other cancer, institutions researching the i especially want to acknowledge mark hughes. The brain cancer survival rate is based on large groups of people, and it cannot be used to predict what will happen to a particular patient. It occurs in the pons area. From mild to severe, impacting prognosis (outcomes) depending on the brain cancer type and overall health status of the patient, brain cancer frequently has fair to poor prognosis. Fortunately, many people will never suffer through this disease. Melanoma found in jimmy carter's brain:
Brain cancer rates are climbing steeply in the united states among people under the age of 45, according to a new study.
Find out more information about hpv from nhs bradford and airedale. Brain cancer can change a person's behavior and can be quite deadly. He was a champion player on the field and has overcome adversity to become a community leader off the field. The most commonly diagnosed cancers are thyroid cancer, hodgkin lymphoma, and brain and other nervous system cancers among adolescents. Brain tumors alone may be cancerous or non cancerous. Now involves someone who has had the disease before. Fortunately, many people will never suffer through this disease. Brain tumors on the rise in england, raising cell phone concerns. Glioblastoma mutiforme (gbm), a lethal brain tumor. Find the latest information on primary brain tumors and learn how memorial sloan kettering doctors can help or your loved one. Its main function is to relay information to and from the brain. Central nervous system tumors are the second most common form of cancer in children between the ages of 1 and 19 years. Brain cancer has a high mortality rate so new patients have little firsthand experience to draw on.
A transparent version of your crypto logo is provided when you download in a png format. Most popular theme in the world. Secure, store and manage your digital crypto investments with a cryptocurrency hardware wallet. Popular crypto marketing strategies include influencer marketing, … It works similar to an online brokerage, as users can deposit fiat currency, and use those funds to purchase cryptocurrency online. Bitcoin Black Logo Png Clipart Bitcoin Cryptocurrency Free Transparent Png Download Pngkey from www.pngkey.com 27.11.2021 · types of crypto exchanges. Pm's meet calls for 'progressive' steps, caution over hype; The safety of cryptocurrency depends largely on which cryptocurrency exchange you use. Crypto values come from bids and offers in the marketplace. Word template design aesthetic.choose from 72,369 printable des...
What Month Is Lung Cancer Awareness Month - November is Lung Cancer Awareness Month | The GW Cancer Center : But may offers another month where people can join the group lung force to advocate for women's lung health in particular. . Lung cancer awareness month resources. November is lung cancer awareness month. Throughout the month of november our team will be continuously curating and publishing timely, informative articles about lung cancer and advances in lung cancer treatment. More people in the united states die from lung cancer than The number of fresh cases of lung cancer worldwide in 2018. November is lung cancer awareness month. New and constantly evolving treatments such as immunotherapy are likely to continue to improve outcomes for people affected by lung cancer. As the lung cancer community and the lung cancer movement grew, the awareness activities increased and grew into lung cancer awareness month. During the month, many people throughout the cou...
Make Sympathy Card : Sensitive Handmade Sympathy Card - Folksy / They say bee well my friend, just a note to say aloe, i hope thistle cheer you up, and being sick succs. you can print these cards out and use them as is or follow the tutorial on how to attach them to blank cards. . It even includes templates for pet sympathy cards for grieving the loss of a furry friend. Find tips, inspiration and over 100 sympathy card messages and examples to get ideas for writing your own heartfelt condolence note. Use the design and layout, change the sentiment, and create it as a thinking of you, get well, anniversary, or a 'just because' card! Showing compassion and support can be invaluable to someone grieving, and doing so with creativity adds the perfect touch. While you should always begin your card with dear, how you end your card can vary. Shutterfly's cards can also serve as elegant, touching death announcement cards to let loved ones know when someone'...
Komentar
Posting Komentar